BMWK-Förderprojekt Röntgenblick mit KI

Ein Gastbeitrag von Lene Ganschow

Anbieter zum Thema

Qualitativ hochwertige Röntgenbilder sind besonders wichtig für eine zuverlässige medizinische Behandlung. Künstliche Intelligenz kann wesentlich dazu beitragen, die Qualität der Röntgendiagnostik zu verbessern. Der KI-gestützte Notfalldiagnostik-Assistent des BMWK-Förderprojekts KI-SIGS zeigt, wie das geht.

Allein in Deutschland werden im Jahr ca. 150 Millionen Röntgenbilder aufgenommen, viele von diesen unter Zeitdruck und von nicht immer erfahrenem Personal, was auf Kosten der diagnostischen Qualität geht(© contrastwerkstatt – stock.adobe.com)
Allein in Deutschland werden im Jahr ca. 150 Millionen Röntgenbilder aufgenommen, viele von diesen unter Zeitdruck und von nicht immer erfahrenem Personal, was auf Kosten der diagnostischen Qualität geht
(© contrastwerkstatt – stock.adobe.com)

Ärztinnen und Ärzte müssen oft in kürzester Zeit Entscheidungen treffen, die über die Behandlung von Patientinnen und Patienten entscheiden. Die datenbasierte Auswertung von Informationen unterstützt sie bei der Auswahl geeigneter Behandlungsmethoden. Röntgenaufnahmen können hierbei als Grundlage dienen. Allein in Deutschland werden pro Jahr etwa 130 Millionen Bilder aufgenommen, was die Röntgendiagnostik zum am häufigsten eingesetzten bildgebenden Verfahren macht, darunter etwa 14 Millionen Computertomografien (CTs). In der Notaufnahme und auf der Intensivstation werden Röntgenaufnahmen und CTs häufig eingesetzt, da sie in wenigen Sekunden ein aussagekräftiges Bild erstellen können – die CT punktet zudem durch eine Erfassung der 3-D Information.

Gerade bei Notfällen und in Gefahrensituationen arbeitet das Personal unter Zeitdruck und Stress. Wichtig ist es, frühzeitig zu erkennen, welche Patienten und Patientinnen besonders schneller Hilfe bedürfen, insbesondere wenn es sich um lebensbedrohliche Zustände handelt. Somit müssen Röntgenaufnahmen zeitnah angesehen und befundet werden; bei CTs müssen überdies viele Schichtaufnahmen durchgeschaut werden – eine komplexe Aufgabe mit hohem Zeitaufwand, bei der nichts übersehen werden darf. Anderenfalls kann die Gesundheit des Patienten oder der Patientin gefährdet werden. Auf der Basis der Diagnostik muss dann zügig die bestmögliche Auswahl und Priorisierung der Behandlungen erfolgen – Entscheidungen unter großem Druck für das ohnehin oft unterbesetzte medizinische Personal.

Innovative Technologien wie Verfahren aus dem Bereich der Künstlichen Intelligenz (KI) können dabei helfen, die benötigten kritischen Informationen automatisch und zügig zu liefern. Diesen Ansatz verfolgt das Teilprojekt AP 340 „KI für radiologische Bildgebung in der Notfall- und Intensivmedizin“ des Förderprojekts KI-SIGS, das im Rahmen des KI-Innovationswettbewerbs des Bundesministeriums für Wirtschaft und Klimaschutz (BMWK) gefördert wird. Das Vorhaben, bei dem eine digitale Plattform für die Entwicklung von KI-Anwendungen im medizinischen Bereich entsteht, erarbeitet in einem Anwendungsfall einen KI-gestützten Notfalldiagnostik-Assistenten. Involviert in den Use Case sind die folgenden KI-SIGS-Verbundpartner: die Sektion Biomedizinische Bildgebung (Koordinator) und die Klinik für Radiologie und Neuroradiologie des Universitätsklinikums Schleswig Holstein (UKSH), Campus Kiel; das Institut für Medizinische Informatik der Universität zu Lübeck und die Klinik für Radiologie und Nuklearmedizin des UKSH, Campus Lübeck; die Sektion für experimentelle biomedizinische Bildgebung des Universitätsklinikums Hamburg, die Fakultät Informatik der Ostfalia - Hochschule für angewandte Wissenschaften, Wolfenbüttel sowie die Unternehmen Philips, Hamburg und mbits, Heidelberg.

Optimale Röntgenaufnahmen und automatisierte Bilderkennung

Grundlage für die Entwicklung des KI-Notfalldiagnostik-Assistenten sind CT- oder Röntgenaufnahmen, die von spezialisierten Radiologinnen und Radiologen interpretiert und kategorisiert wurden. Anhand der Aufnahmen lernt die KI-Anwendung, im Bild wiederkehrende Muster und Gesetzmäßigkeiten zu erkennen und zu klassifizieren. Hat der KI-Assistent das erst einmal an Hunderten von Beispielfällen gelernt, so kann er das Gelernte auf neue Patientendaten anwenden. Damit kann er dann automatisch, schnell und ohne Ermüdungserscheinungen dem verantwortlichen Arzt wichtige Diagnosehinweise liefern. Die trainierte KI-Anwendung kann somit helfen, dass auch in hektischen Situationen nichts übersehen wird – eine Funktion, die besonders die Notfall- und Intensivmedizin unterstützen soll.

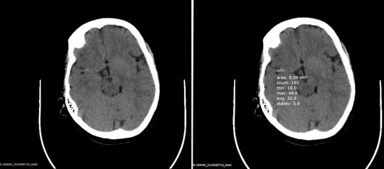
Abb. 1: Schädel-CT, links originale Schicht, rechts dieselbe Schicht, auf der der KI-Assistent den Thrombus erkannt und richtig umrandet hat. Diese Segmentierung erfolgt automatisch über mehrere aneinander grenzende Schichten, und zu jeder werden Kenngrößen zu Größe und Grauwertverteilung ermittelt(© UKSH und mbits, Heidelberg)
Abb. 1: Schädel-CT, links originale Schicht, rechts dieselbe Schicht, auf der der KI-Assistent den Thrombus erkannt und richtig umrandet hat. Diese Segmentierung erfolgt automatisch über mehrere aneinander grenzende Schichten, und zu jeder werden Kenngrößen zu Größe und Grauwertverteilung ermittelt
(© UKSH und mbits, Heidelberg)

Der KI-Notfalldiagnostik-Assistent wird zunächst in drei Anwendungsbereichen trainiert: Schlaganfälle, Knochenverletzungen und Brustkorbuntersuchungen. Auf allen drei Gebieten geht es hauptsächlich darum, Probleme frühzeitig zu erkennen, die einer möglichst schnellen Behandlung bedürfen, zum Beispiel die richtige Platzierung von Kathetern, die der KI-Assistent anhand von Röntgenbildern überprüfen kann. Wenn in der Notaufnahme der Verdacht auf Schlaganfall besteht, soll das System anhand des Bildes automatisch erkennen, ob ein verschlossenes Blutgefäß oder eine Hirnblutung die Ursache ist – die dann jeweils nötige Therapie ist in den beiden Fällen grundlegend unterschiedlich – und, wenn ein Thrombus vorliegt, diesen markieren (Abb. 1). Bei der Untersuchung von Knochenbrüchen nach Unfällen kann die Bildanalyse erkennen, ob überhaupt ein akuter neuer Bruch vorliegt und auch, ob der frische Bruch etwa instabil ist (Abb. 2), so dass die Behandlung potenziell mit besonderer Vorsicht durchgeführt werden muss. Ärztinnen und Ärzte erhalten so eine schnelle fundierte Entscheidungsgrundlage für Notfallbehandlungen. Potenzielle Anwendungsgebiete darüber hinaus sind vielfältig. Vor allem kleinere Kliniken, denen es an entsprechender spezialisierter radiologischer Expertise fehlt, können von der KI-Anwendung profitieren. Eventuell kann sie sogar zu Trainingszwecken eingesetzt werden – nachdem die KI auf der Grundlage von Trainingsdaten gelernt hat, entsprechende Auffälligkeiten zu erkennen und von Experten freigegeben wurde, könnte die KI schließlich bei der Schulung von externem medizinischem Personal unterstützen.

Jetzt Newsletter abonnieren

Wöchentlich die wichtigsten Infos zur Digitalisierung im Gesundheitswesen

Mit Klick auf „Newsletter abonnieren“ erkläre ich mich mit der Verarbeitung und Nutzung meiner Daten gemäß Einwilligungserklärung (bitte aufklappen für Details) einverstanden und akzeptiere die Nutzungsbedingungen. Weitere Informationen finde ich in unserer Datenschutzerklärung. Die Einwilligungserklärung bezieht sich u. a. auf die Zusendung von redaktionellen Newslettern per E-Mail und auf den Datenabgleich zu Marketingzwecken mit ausgewählten Werbepartnern (z. B. LinkedIn, Google, Meta).

Aufklappen für Details zu Ihrer Einwilligung

(ID:48652619)