TU Berlin
Hardenbergstr. 4 -5 ⎢ 10623 Berlin ⎢ Deutschland ⎢
Routenplaner
Artikel | 22.02.2022
Forscher simulieren neuronales Netz mit nur einem Neuron
Artikel | 17.11.2020
Kampf gegen Hasskriminalität im Internet
Artikel | 29.10.2020
Intelligente, digitale Mobilitätslösungen für die Metropolregion Hamburg
Artikel | 15.04.2020
Was passiert 60 Sekunden nach einem Totalausfall der Datacenter-Kühlung?
Artikel | 19.09.2019
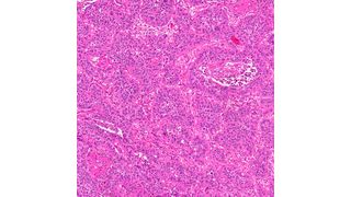
Maschinelles Lernen verbessert Krebsdiagnostik
Artikel | 23.07.2019
Die natürlichen Dritten: Körpereigener Zahnersatz?
Artikel | 12.03.2019
Von wegen intelligent: 50 Prozent der KI-Systeme sollen schummeln
Artikel | 15.06.2018
Hunderte Kilometer weit: Die erstaunliche Reise „fliegender“ Spinnen