Neues KI-Modell Effizientere Diagnostik dank Anomalieerkennung

Von Stephan Augsten 2 min Lesedauer

Anbieter zum Thema

Um bei der Diagnose eine echte Unterstützung zu sein, muss künstliche Intelligenz mit ausreichend vielen Daten und Bildern trainiert werden. Weil dies für seltene Krankheiten nicht möglich ist, haben Forschende aus München und Berlin ein neues KI-Tool entwickelt. Dieses zieht Abweichungen von häufigen Befunden heran, um weniger häufige Erkrankungen des Magen-Darm-Trakts zu identifizieren.

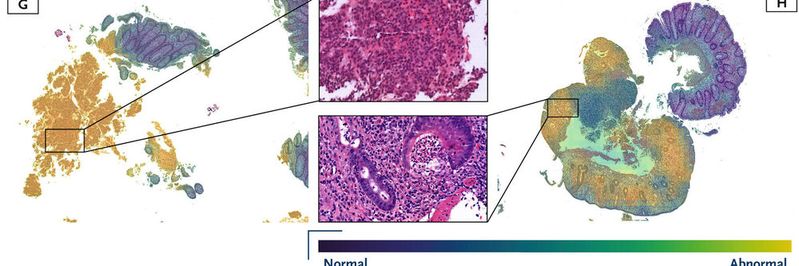
Heatmap-Visualisierung der Ergebnisse der Anomalieerkennung (Ausreißer-Expositionsansatz).(©  LMU / TU Berlin / Charité Berlin)
Heatmap-Visualisierung der Ergebnisse der Anomalieerkennung (Ausreißer-Expositionsansatz).
(© LMU / TU Berlin / Charité Berlin)

Heatmap-Visualisierung der Ergebnisse der Anomalieerkennung (Ausreißer-Expositionsansatz).(©  LMU / TU Berlin / Charité Berlin)
Heatmap-Visualisierung der Ergebnisse der Anomalieerkennung (Ausreißer-Expositionsansatz).
(© LMU / TU Berlin / Charité Berlin)

In einer aktuellen Studie zur Anwendung von Künstlicher Intelligenz (KI) in der histopathologischen Diagnostik haben Wissenschaftler ein neuartiges Verfahren zur Anomalieerkennung vorgestellt. Hintergrund war dabei, dass gängige KI-Modelle zwar häufige Krankheiten recht zuverlässig erkennen, weil hierzu viele Trainigsdaten zur Verfügung stehen. Bei selteneren Krankheiten ist die Trefferquote aber deutlich niedriger. Professor Frederick Klauschen, Direktor des Pathologischen Instituts der Ludwig-Maximilians-Universität München, vergleicht dies mit einem Hausarzt, der nur Husten, Schnupfen und Heiserkeit diagnostizieren müsste: „Die eigentliche Herausforderung ist, auch die selteneren Erkrankungen zu erkennen.“ Diese übersähen die aktuellen KI-Modelle jedoch häufig oder klassifizierten sie sogar falsch.

Damit wollten sich die Forschenden der Ludwig-Maximilians-Universität München, der Technischen Universität Berlin sowie der Berliner Charité nicht zufriedengeben. Für seine Studie sammelte das Forschungsteam zwei große Datensätze mikroskopischer Bilder, die Gewebeschnitte aus gastrointestinalen Biopsien zeigten, und die zugehörigen Diagnosen. Die zehn häufigsten Befunde, darunter unauffällige Befunde und sehr häufige Krankheiten wie chronische Gastritis, machten dabei etwa 90 Prozent der Fälle aus. Das letzte Zehntel umfasste insgesamt 56 Krankheitsbilder, darunter etliche Krebsarten.

Entlastung bei der Diagnosestellung

Die Idee: ein KI-Modell, das anhand unauffälliger und besonders häufiger Befunde eventuelle Anomalien erkennt und so auch weniger häufige Krankheiten zuverlässig identifiziert. Für das Training und die anschließende Bewertung ihres Modells verwendeten die Forschenden nach eigenen Angaben insgesamt 17 Millionen histologische Bilder aus 5.423 Fällen. Professor Klaus-Robert Müller von der Technischen Universität Berlin/BIFOLD zu den Ergebnissen: „Wir haben verschiedene technische Ansätze verglichen und unser bestes Modell hat ein breites Spektrum an selteneren Pathologien von Magen und Darm, einschließlich seltener primärer oder metastasierender Krebsarten, mit hoher Zuverlässigkeit erkannt.“ Nach Kenntnisstand des Teams sei dazu bislang kein anderes KI-Tool in der Lage. Mithilfe von Heatmaps lässt sich zudem farblich hervorheben, an welcher Stelle des Gewebeschnitts Anomalien vorliegen.

Die Forscher zeigen sich zuversichtlich, dass ihr neues KI-Modell, welches zukünftig weiter verbessert werden soll, Mediziner entscheidend unterstützen könne. Letztlich müssten Pathologen auch weiterhin alle Befunde bestätigen, aber Klauschen zufolge könnten „Ärztinnen und Ärzte [...] sehr viel Zeit sparen, weil normale Befunde und ein gewisser Anteil der Erkrankungen durch die KI diagnostiziert werden können. Das trifft auf etwa ein Viertel bis ein Drittel der Fälle zu.“ Bei den übrigen Fällen könne die KI wiederum die Priorisierung erleichtern und übersehene Diagnosen reduzieren, so Klauschen. „Das wäre ein Riesenfortschritt.“

(ID:50217212)

Jetzt Newsletter abonnieren

Wöchentlich die wichtigsten Infos zur Digitalisierung im Gesundheitswesen

Mit Klick auf „Newsletter abonnieren“ erkläre ich mich mit der Verarbeitung und Nutzung meiner Daten gemäß Einwilligungserklärung (bitte aufklappen für Details) einverstanden und akzeptiere die Nutzungsbedingungen. Weitere Informationen finde ich in unserer Datenschutzerklärung. Die Einwilligungserklärung bezieht sich u. a. auf die Zusendung von redaktionellen Newslettern per E-Mail und auf den Datenabgleich zu Marketingzwecken mit ausgewählten Werbepartnern (z. B. LinkedIn, Google, Meta).

Aufklappen für Details zu Ihrer Einwilligung